Las consecuencias de la enfermedad de COVID-19 , provocado por el virus SARS-CoV-2, no han sido aún completamente establecidas. Desde el inicio de la pandemia mundial, declarada en enero de 2020, las secuelas de este virus ahora indicarían que puede afectar a la materia gris del cerebro.
La COVID-19 y nuevos descubrimientos en el cerebro
La conclusión llegó luego de un estudio desarrollado por científicos de la Universidad de Oxford (Inglaterra). Los resultados fueron publicados el pasado domingo, por el biobanco del Reino Unido (UK Biobank).
Según esta investigación preliminar la COVID-19 es capaz de causar la pérdida de materia gris del cerebro.
La materia gris del cerebro está compuesta por células neuronales y células cerebrales no neuronales (células gliales), que son las responsables de procesar información que llega a nuestro cerebro, desde los órganos sensoriales.
Esta podría ser la explicación por la que muchos pacientes recuperados, aún presentan alteraciones en el gusto y el olfato.
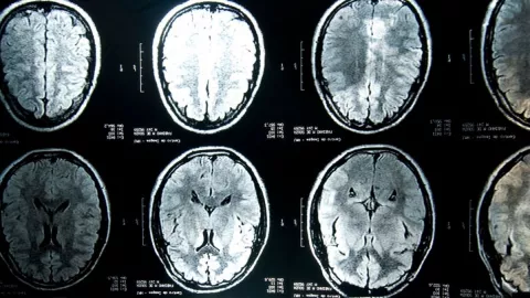
La conclusión llegó a partir de los resultados obtenidos, luego de tomar imágenes cerebrales de pacientes, antes y después del sufrir de COVID-19. En el estudio participaron 40 mil personas, de las que se tenían imágenes cerebrales, antes del inicio de la pandemia.
Así fue el estudio que dice que la COVID-19 afecta a la materia gris

Con esta banco de imágenes del cerebro de miles de personas, durante el 2021, y luego del desarrollo de la COVID-19, estos pacientes fueron contactados para tomarse nuevas imágenes del cerebro y la materia gris.
Del total de pacientes, acudieron 394, para volver a ser escaneados, luego de haber sufrido la enfermedad causada por SARS-CoV-2.
“Usamos exploraciones cerebrales estructurales y funcionales de antes y después de la infección para comparar los cambios cerebrales longitudinales entre estos 394 pacientes con COVID-19″, explicaron los investigadores liderados por el profesor Gwenaëlle Douaud.
El estudio aún no ha sido sometido a estudios posteriores, ni a revisiones de pares científicos, por lo que todavía no tiene carácter definitivo. No obstante, la conclusión es determinante: los autores identificaron “efectos significativos” de la enfermedad en el cerebro con pérdida de materia gris en varias partes de este órgano.
“Nuestros hallazgos se relacionan consistentemente con la pérdida de materia gris en áreas corticales límbicas directamente relacionadas con el sistema olfativo y gustativo primario”, explica el estudio.
El estudio tiene sentido, si se considera que el virus de la COVID-19 entra al sistema nervioso, a través de las vías olfativas. Las consecuencias en la pérdida de materia gris, en el cerebro, sería determinante para continuar definiendo a la enfermedad y sus implicancias.
La noticia por todos los medios. ¡Descarga nuestra app !
Gm
