Descubren nuevo órgano en el cuerpo humano

El ‘intersticio’ se conforma de una red de canales microscópicos llenos de fluido que se extiende por todo el cuerpo.

KAL|0_7gn7qirb
Actualizado el 09 julio 2020 12:32hrs 1 minutos de lectura.
Compartir:
Escrito por: Redacción adn Noticias

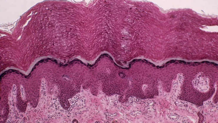
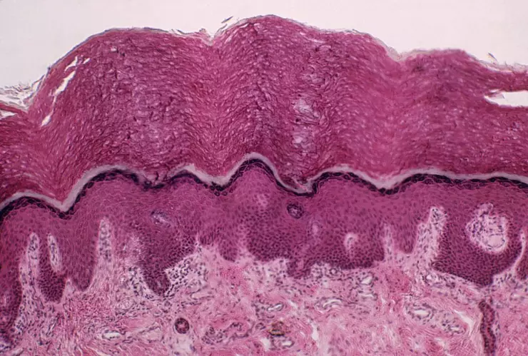
Un equipo de investigadores de la Escuela de Medicina de la Universidad de Nueva York (NYU) descubrió una red de canales microscópicos llenos de fluido que se extiende por todo el cuerpo, al cual llamaron ‘Intersticio’.

El estudio publicado en la revista especializada Scientific Reports, revela que el nuevo órgano transporta hasta el 20% de los líquidos que hay en nuestro cuerpo, además actúa como amortiguador para proteger nuestros órganos internos.

Neil Theise, del Departamento de Patología de la Escuela de Medicina declaró que debido a que el órgano se concentra en la distribución de líquido por todo el cuerpo, el intersticio podría contribuir a la propagación veloz de células cancerosas.

El descubrimiento de este nuevo órgano fue posible gracias a la biopsia por congelación combinada con la histología con agentes fluorescentes que es uno de los procesos más avanzados tecnológicamente en el mundo de la medicina.

Este podría ser el órgano más grande del cuerpo

Sigue la información dónde quiera que estés. ¡Descarga nuestra app !

erv

¡No te pierdas nuestro contenido, sigue a adn Noticias en Google News!