adn bueno
Última hora

Balacera en Tepito deja muertos y lesionados en la alcaldía Cuauhtémoc

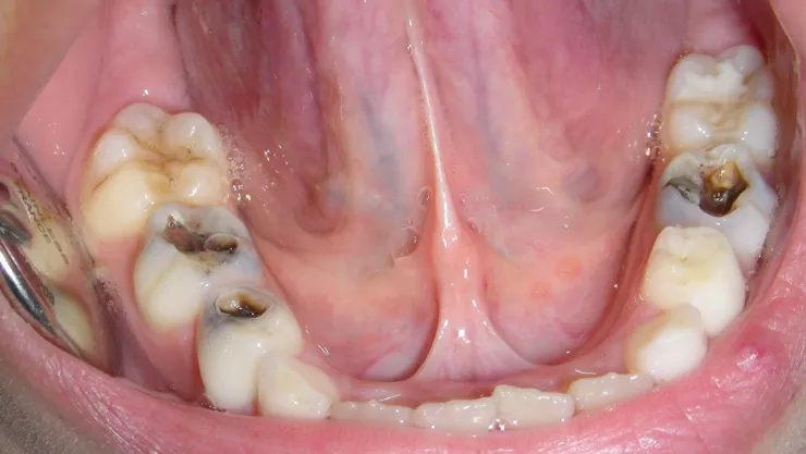
En México hay cerca de 10 millones de niños con caries

Este padecimiento provoca futuros problemas dentales, señaló una experta.

KAL|0_qvzeay7d

Foto: Notimex

En México, aproximadamente 10 millones de niños entre los dos y cinco años padecen caries, lo que representa un grave problema de salud bucal desde edades tempranas, de acuerdo con la Dirección General de Epidemiología de la Secretaría de Salud.

La caries en la infancia temprana, antes conocida como caries de biberón, se presenta en los bebés debido a la falta de higiene bucal después de ser alimentados con leche materna o fórmulas.

Este padecimiento provoca futuros problemas dentales, además de afectar el crecimiento, interferir con la alimentación, el sueño y la concentración en la escuela, explicó María Gloria Hirose López, profesora de la Facultad de Odontología (FO) de la UNAM.

“La caries es una enfermedad crónica que avanzan rápidamente, y es irreversibles si no se atiende a tiempo. En los niños, se presenta principalmente en los dientes superiores anteriores y en los molares, porque la lengua cubre los dientes inferiores cuando se toma el biberón o son amamantados. Por ello, la limpieza bucal debe hacerse inmediatamente después de alimentar al bebé”, subrayó la académica.

Los dientes primarios son la guía para la erupción de los permanentes, y de no ser atendidos, estos últimos saldrán afectados.

Con información de la UNAM

La noticia continúa, mantenla encendida. ¡Descarga nuestra app!

sga

LO MÁS VISTO